エコー検査

当院ではフルデジタル超音波診断装置を設置しております。
従来の装置に比べ、さらに高画質な画像検査を提供できるようになりました。
超音波検査は人体に無害・無痛な検査で、繰り返して行えるため、病気の早期発見・ 経過観察に大変有効な検査です。プローブを体表に当てることで体内臓器の形態や血流情報をリアルタイムで表示し、循環器系の疾患や腹部消化器系疾患・血管系疾患などを速やかに診断し、日頃より患者様の健康をお守りいたします。
検査中は苦痛もなく、リラックスしながら安心して受けていただけます。
詳しい検査内容は、医師へお気軽にお尋ねください。
従来の装置に比べ、さらに高画質な画像検査を提供できるようになりました。
超音波検査は人体に無害・無痛な検査で、繰り返して行えるため、病気の早期発見・ 経過観察に大変有効な検査です。プローブを体表に当てることで体内臓器の形態や血流情報をリアルタイムで表示し、循環器系の疾患や腹部消化器系疾患・血管系疾患などを速やかに診断し、日頃より患者様の健康をお守りいたします。
検査中は苦痛もなく、リラックスしながら安心して受けていただけます。
詳しい検査内容は、医師へお気軽にお尋ねください。
Aplio i700の特徴
新開発の送受信回路と信号処理で極めて細い超音波ビームを実現しています。
高精度で広帯域なMulti-Sync Pulserで綺麗な波形の超音波パルスを送信し、高速Multi-Beam Receiverで一度に多くのビームを受信でき、さらに受信信号を合成するMulti-Harmonic Compounding処理を行うことで極めて細い超音波ビームを実現し、今までにない高精細画像を描出できます。
高精度で広帯域なMulti-Sync Pulserで綺麗な波形の超音波パルスを送信し、高速Multi-Beam Receiverで一度に多くのビームを受信でき、さらに受信信号を合成するMulti-Harmonic Compounding処理を行うことで極めて細い超音波ビームを実現し、今までにない高精細画像を描出できます。



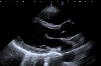
心臓超音波検査

心臓超音波検査は、心臓のリアルタイムの動きを観察することが出来ます。超音波検査の優れた点は、このリアルタイム、専門的に言い換えれば時間分解能が高い点と非常に安全かつ簡便に施行できる点になります。心エコー検査は、心臓の大きさや動き、壁の厚さ(心肥大の診断に用います)を計測することが可能です。
その中で心臓の動き(壁運動評価)は、心エコー検査の中でも、熟練が必要だと言われてます。また読影する人によりばらつきが生じることもあります。
AI技術を用いて自動でEF(左室駆出率)を算出する機能と同時に、詳細な壁運動の指標をカラーマップで提示でき、収縮のタイミングもグラフで確認可能となり詳細な解析が可能となります。
その中で心臓の動き(壁運動評価)は、心エコー検査の中でも、熟練が必要だと言われてます。また読影する人によりばらつきが生じることもあります。
AI技術を用いて自動でEF(左室駆出率)を算出する機能と同時に、詳細な壁運動の指標をカラーマップで提示でき、収縮のタイミングもグラフで確認可能となり詳細な解析が可能となります。
2D Wall Motion Tracking


頚動脈エコー
頚動脈は、頚の部分にあり、心臓から脳へ血液を送る大きな血管のことです。頚動脈は脳へ血液を送る「内頚動脈」と、頭皮の方へ血液を送る「外頚動脈」とがあり、それら分かれ道となる部分を『頚動脈分岐部』といい、もっとも「動脈硬化」になりやすい部位といわれています。
頚動脈エコー検査では、頚動脈の状態を超音波によって検査するので、心筋梗塞や脳梗塞、大動脈解離などの命にかかわる病気が発症する危険度を事前に知ることができます。頚動脈エコー検査で頚動脈の動脈硬化(老化も含む)やアテローム硬化の状態を観察できます。
頚動脈エコー検査では、頚動脈の状態を超音波によって検査するので、心筋梗塞や脳梗塞、大動脈解離などの命にかかわる病気が発症する危険度を事前に知ることができます。頚動脈エコー検査で頚動脈の動脈硬化(老化も含む)やアテローム硬化の状態を観察できます。


腹部超音波検査

腹部エコー検査では、胃カメラや大腸カメラでは観察できない、肝臓・胆のう・膵臓・腎臓・脾臓・膀胱・前立腺などの病気を見ることが出来ます。
また、胃や大腸も進行がんや潰瘍、強い炎症などはエコーでも指摘することができ、痛みや苦しさがなく、ベッドサイドですぐに出来るため非常に有効な検査です。
近年肝臓の硬さをエコーで評価可能となりました。せん断波の伝播速度を測定し、組織の硬さを数値やカラーマップで表示できます。せん断波の伝搬する時間を等高線表示するPropagation表示で、せん断波の伝わり方を視覚的に確認できます。
慢性肝炎や肝硬変の程度の評価が可能となります。
また、胃や大腸も進行がんや潰瘍、強い炎症などはエコーでも指摘することができ、痛みや苦しさがなく、ベッドサイドですぐに出来るため非常に有効な検査です。
近年肝臓の硬さをエコーで評価可能となりました。せん断波の伝播速度を測定し、組織の硬さを数値やカラーマップで表示できます。せん断波の伝搬する時間を等高線表示するPropagation表示で、せん断波の伝わり方を視覚的に確認できます。
慢性肝炎や肝硬変の程度の評価が可能となります。

